Имплантат для съемного протеза MS
Для съемного протезирования при узком альвеолярном гребне
- Максимально упрощенный протокол установки
- Возможность использовать имплантаты с учетом высоты десны

- Имплантат для съемного протезирования, используемый при малой ширине кости у пациентов с полной или частичной адентией при невозможности установки имплантатов стандартного размера
- Быстрая и удобная процедура протезирования
- Максимально упрощенный протокол установки
- Возможность использовать имплантаты с учетом высоты десны (выбор имплантата с высотой десны 2 или 4 мм)
- Рекомендуемый крутящий момент: 30 Н*см
ЛИНЕЙКА ИМПЛАНТАТОВ


КЛИНИЧЕСКОЕ ПРИМЕНЕНИЕ
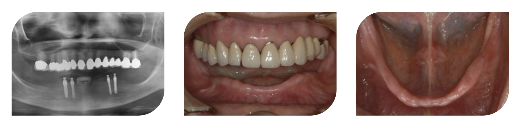
Состояние пациента: беззубая нижняя челюсть
Продукт: Имплантат для съемного протеза MS
Параметры: Φ 2.5 * 13 мм * 2, Φ 3.0 * 13 мм * 2
Панорамный снимок и фотография ротовой полости

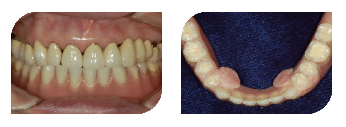
Имплантация через 7 месяцев

Финальный съемный протез
