Имплантат для узкого гребня MS
Монолитный имплантат узкого диаметра
- Разработан специально для случаев с недостаточной шириной кости, например во фронтальном отделе нижней челюсти
- Микрорезьба обеспечивает оптимальное распределение нагрузки при жевании
- Монолитный имплантат узкого диаметра (имплантат и опорная головка (абатмент) образуют единую конструкцию)
- Специально разработан для преодоления ограничений установки имплантатов стандартного диаметра в местах с недостаточной шириной кости, например, во фронтальном отделе нижней челюсти
- Шейка снабжена микрорезьбой, что обеспечивает оптимальное распределение нагрузки при жевании
- Превосходная стабильность при немедленной нагрузке
- Рекомендуемый крутящий момент: 30 Н*см
ЛИНЕЙКА ИМПЛАНТАТОВ


ДОПОЛНИТЕЛЬНАЯ ИНФОРМАЦИЯ
* Создание временной коронки
- После установки имплантата для узкого гребня MS, используйте временный колпачок для изготовления временной коронки.

- Временный колпачок отлично держит материал за счет дизайна, поэтому использование клеящего состава для удержания временной коронки не обязательно
- Временную коронку следует вывести из прикуса

Изготовление временной коронки на временном колпачке
ПРОТОКОЛ
Имплантат MS можно установить используя лишь одно сверло, что упрощает протокол и ускоряет время операции.

КОМПОНЕНТЫ

ПРОЦЕСС СНЯТИЯ СЛЕПКА В СЛУЧАЕ МОДИФИКАЦИИ ОПОРНОЙ ГОЛОВКИ (АБАТМЕНТА)


КЛИНИЧЕСКОЕ ПРИМЕНЕНИЕ
Пациент: 51 год, женщина
Состояние: Пародонтит
#31 шатается, рецессия десны
Продукт: Имплантат для узкого гребня MS
Размеры: Φ 2.5 * 13 mm
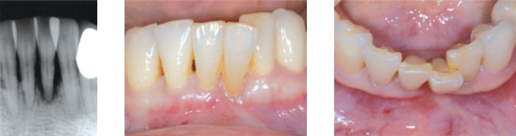
Панорамный снимок и фотография ротовой полости

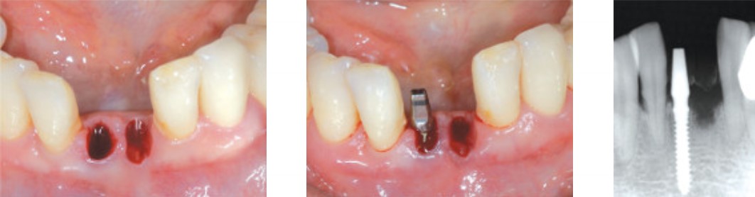
Экстракция, #41 Имплантат для узкого гребня MS

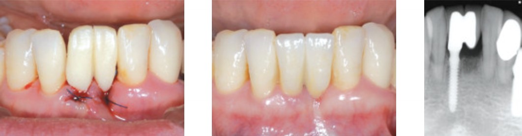
Временный протез, финальное протезирование через 4 мес.
